Are you tired of feeling self-conscious about your overlapping teeth? Do you want to know how dentists can fix this common dental issue? In this article, we will explore the different methods dentists use to fix overlapping teeth and provide you with valuable information to help you make an informed decision about your dental health.
Having overlapping teeth can cause a variety of issues, both aesthetic and functional. It can make you feel insecure about your smile and make it challenging to maintain proper oral hygiene. Overlapping teeth can also lead to difficulties in chewing and speaking. If you are experiencing any of these pain points, it's essential to seek professional help from a dentist who can address your concerns.
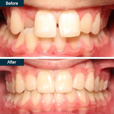
When it comes to fixing overlapping teeth, dentists have several options available. The most common method is orthodontic treatment, which involves using braces or aligners to gradually move the teeth into their proper positions. In some cases, a dentist may recommend tooth extraction to create more space and allow for proper alignment. Additionally, dental veneers or crowns can be used to reshape and cover the teeth, providing a straighter appearance.
In summary, dentists can fix overlapping teeth through various methods such as orthodontic treatment, tooth extraction, dental veneers, or crowns. The specific approach will depend on the severity of the overlapping and the individual's unique dental needs. Now, let's dive deeper into each of these methods and explore their benefits and considerations.
Orthodontic Treatment: Straightening Your Teeth
One of the most common ways to fix overlapping teeth is through orthodontic treatment. This method involves using braces or aligners to gradually move the teeth into their proper positions. Braces consist of metal brackets that are bonded to the teeth and connected with wires. These wires apply gentle pressure, gradually shifting the teeth over time. Aligners, on the other hand, are clear plastic trays that are custom-made to fit your teeth. They are removable and need to be replaced every few weeks to continue the straightening process.
Orthodontic treatment can take anywhere from several months to a few years, depending on the complexity of the case. It is essential to follow your dentist's instructions and attend regular check-ups to ensure the treatment progresses smoothly. While orthodontic treatment may require some adjustments to your lifestyle and diet, the results can be life-changing. Straighter teeth not only improve your smile's appearance but also contribute to better oral health and overall confidence.

Tooth Extraction: Creating Space for Alignment
In some cases, a dentist may recommend tooth extraction as part of the treatment plan for overlapping teeth. This method is typically used when there is severe crowding or not enough space to align the teeth properly. By removing one or more teeth, the dentist creates space for the remaining teeth to shift into their correct positions.
Before recommending tooth extraction, your dentist will carefully evaluate your dental condition and consider various factors, such as the health of the affected teeth and the overall alignment goals. The extraction process is typically straightforward and performed under local anesthesia to ensure your comfort. After the extraction, your dentist will provide you with post-operative care instructions to promote proper healing.

Dental Veneers and Crowns: Reshaping and Covering the Teeth
If your overlapping teeth are primarily a cosmetic concern and not causing functional issues, your dentist may recommend dental veneers or crowns. These options involve reshaping and covering the teeth to provide a straighter appearance.
Dental veneers are thin shells made of porcelain or composite material that are bonded to the front surface of the teeth. They can be custom-designed to match the color and shape of your natural teeth, creating a seamless and straight smile. Dental crowns, on the other hand, are tooth-shaped caps that cover the entire visible portion of the tooth. They can be used to enhance the appearance and strength of a tooth with significant overlapping or damage.

The Hidden Secret to Fixing Overlapping Teeth
While orthodontic treatment, tooth extraction, and dental veneers or crowns are effective methods for fixing overlapping teeth, it's important to remember that prevention is key. Maintaining good oral hygiene practices, such as regular brushing, flossing, and dental check-ups, can help prevent or minimize overlapping teeth. Additionally, early intervention and orthodontic evaluation during childhood or adolescence can help identify and address any alignment issues before they become more severe.

Recommendations for Fixing Overlapping Teeth
If you are considering fixing your overlapping teeth, it's crucial to consult with a qualified dentist or orthodontist. They will thoroughly evaluate your dental condition, discuss your goals and preferences, and recommend the most suitable treatment options for you. Remember to ask questions, understand the potential risks and benefits of each method, and follow your dentist's instructions for optimal results.

Exploring the Benefits of Fixing Overlapping Teeth
Fixing overlapping teeth offers numerous benefits beyond the aesthetic improvement. Straighter teeth are easier to clean and maintain, reducing the risk of dental issues such as tooth decay and gum disease. Proper alignment also contributes to better oral function, making chewing and speaking more comfortable. Additionally, addressing overlapping teeth can boost your self-confidence and improve your overall quality of life.
Tips for Maintaining Straight Teeth
Once your overlapping teeth are fixed, it's essential to maintain the results for the long term. Here are some tips to help you keep your teeth straight and healthy:
- Follow a consistent oral hygiene routine, including brushing at least twice a day and flossing daily.
- Use a soft-bristle toothbrush and fluoride toothpaste to prevent damage to your teeth and gums.
- Avoid chewing on hard objects or foods that can potentially shift your teeth.
- Wear a retainer as advised by your dentist to prevent regression of the alignment.
- Attend regular dental check-ups to ensure your teeth and gums are healthy and to address any issues promptly.

What If You Don't Fix Overlapping Teeth?
Choosing not to fix overlapping teeth can have long-term consequences for your dental health. Overlapping teeth create crevices that are difficult to clean, increasing the risk of plaque buildup, cavities, and gum disease. Additionally, misaligned teeth can put excessive stress on certain areas, leading to enamel wear, tooth fractures, and temporomandibular joint (TMJ) disorders. It's best to address overlapping teeth early on to prevent these potential complications.
Fun Facts About Fixing Overlapping Teeth
Did you know that orthodontic treatment to fix overlapping teeth has been around for centuries? Ancient civilizations, such as the Egyptians and Romans, used various methods, including metal bands and gold wires, to straighten teeth. Thankfully, modern dentistry has come a long way, offering more comfortable and efficient options for achieving a straighter smile.
How to Fix Overlapping Teeth: Step by Step
If you decide to fix your overlapping teeth, the process typically involves the following steps:
- Consultation: Schedule an appointment with a dentist or orthodontist for an evaluation and discussion of treatment options.
- Treatment planning: Your dentist will create a personalized treatment plan based on your dental condition, goals, and preferences.
- Treatment initiation: Depending on the chosen method, you will begin your orthodontic treatment, tooth extraction, or dental veneer/crown placement.
- Progress monitoring: Regular check-ups will be scheduled to monitor the progress of your treatment and make any necessary adjustments.
- Completion and maintenance: Once your treatment is complete, your dentist will provide you with instructions on how to maintain your new smile for the long term.

Listicle: 5 Tips for a Straighter Smile
- Practice good oral hygiene: Brushing, flossing, and rinsing with mouthwash regularly can help maintain your oral health and keep your teeth straight.
- Wear a retainer: If you have undergone orthodontic treatment, wearing a retainer as advised by your dentist is crucial to prevent regression of the alignment.
- Avoid bad habits: Habits such as nail-biting, pen-chewing, or using your teeth as tools can potentially damage your teeth and affect their alignment.
- Protect your teeth during sports: If you participate in sports or other physical activities, wear a mouthguard to protect your teeth from injuries that can affect their alignment.
- Maintain a balanced diet: Eating a balanced diet rich in vitamins and minerals, and avoiding excessive sugary and acidic foods, can contribute to better oral health and help keep your teeth straight.
No comments:
Post a Comment